BDS, FCPS (Oral & Maxillofacial Surgery) | Assistant Professor
Experience world-class dental care with Lahore’s most trusted dentist and maxillofacial surgeon. Dr. Ijaz Ur Rehman combines 18+ years of expertise with state-of-the-art technology to deliver exceptional results for all your dental needs.
Asst. Prof. Dr. Ijaz Ur Rehman , Maxillofacial Surgeon , Implantologist, Best Dental Surgeon/Dentist in Lahore 116 Google reviewsPosted on Ahsan Aslam31 July 2025Trustindex verifies that the original source of the review is Google. V v reasonablePosted on Shahzad Ashraf25 June 2025Trustindex verifies that the original source of the review is Google. I highly recommend Dr ijaz ur Rehman for any type of dental n implant procedures.Posted on Somia Aslam21 June 2025Trustindex verifies that the original source of the review is Google. Best implantologist in lahorePosted on Aon Ali21 June 2025Trustindex verifies that the original source of the review is Google. He is truly one of the best and most professional & Honest Dentist out there, which is very hard to find now a days as everyone is just after your money and misguiding you. Not only does he deliver top-notch dental work with care and precision, but he also keeps his services economically reasonable, which is rare to find these days. What really sets him apart is the way he deals with his patients & specially with elder patients like my Aama – full of patience, calmness, and understanding. Watching him work with such kindness and professionalism is genuinely admirable. Highly recommended for anyone looking for quality dental care with a human touch. Allah Pak Bless Doctor Sb.Posted on ROSEandPINKone Faizan12 December 2024Trustindex verifies that the original source of the review is Google. It's my second year coming to Dr. Ijaz-ur-rehman for a wisdom tooth removal procedure. I had one removed last year, too, from him. Having a wisdom tooth removal and going for self-dissolving stitches can be a nerve-racking and daunting experience. However, Dr. Ijaz's due diligence and care in making my nerves smooth and reassuring made this procedure seem an easily bearable one. His topmost priorities include the comfort and healing of his patients, which clearly comes through. I believe he is an expert in his field and also offers multiple follow-up visits for complete healing and cleanup of the operated area, my stitched gum, in this case. You can fully trust his abilities as a competent dental surgeon and openly share your dental concerns with him for a tailored, prompt response and care. That's why if anyone asks me for a true, trustable dental surgeon, I will readily name Dr. Ijaz-ur-rehman to them. His persoal female medical assistant is also very polite, humble and supportive.Posted on Kulsoom fayyaz9 December 2024Trustindex verifies that the original source of the review is Google. I strongly recommend Dr. Ijaz! My recent root canal was a very complicated case because the nerve endings wouldn’t numb properly. It took more than the usual three sessions, but Dr. Ijaz was so patient and kind throughout. He worked at my pace and made sure I was comfortable every step of the way. The best part about him is how he communicates and handles his patients. I am not easy to deal with when it comes to anesthesia, but he did his best to ease my pain and calm my nerves. Most of the treatment was done while I was a lactating mother, which is not usually recommended. Dr. Ijaz made sure to use minimal medicines and antibiotics, always keeping my and my baby’s health in mind. Dr. Ijaz has been my dentist for three years now, and I’ve always had a great experience. A year ago, he also handled my twisted wisdom tooth extraction, which was a very difficult case, but he did it with the same care and expertise. He is very responsive on text, which makes communicating with him so much easier and stress-free. He is the best dentist in the Allama Iqbal Town area! I wish him all the best and hope he continues helping people the way he helped me!Posted on laamia aamir2 December 2024Trustindex verifies that the original source of the review is Google. Excellent service. Highy Recommended.Posted on Muhammad Umair1 December 2024Trustindex verifies that the original source of the review is Google. I would like to express my deepest gratitude and appreciation for the exceptional care and expertise of Asst. Prof. Dr. Ijaz Ur Rehman, Maxillofacial Surgeon and Implantologist, provided me with life-changing treatment after enduring a longstanding and severe jaw condition. Approximately nine years ago, I suffered a critical jawbone fracture due to an accident, which severely impacted my daily life. The injury left me struggling with basic functions such as eating and hearing, which caused immense physical and emotional distress. Over the years, I consulted multiple doctors in an effort to find relief; however, not only were they unable to resolve the issue, but in some cases, their interventions exacerbated my condition. When I finally visited Dr. Ijaz Ur Rehman, his professionalism, thorough diagnostic approach, and clear communication immediately instilled confidence. He explained the complexity of my case in detail and devised a personalized treatment plan that addressed both the underlying cause of my condition and its effects. His expertise and skill as a Maxillofacial Surgeon and Implantologist were evident throughout the entire process. Remarkably, under his care, I experienced a full recovery within just two months—something I had not thought possible after years of suffering. Dr. Ijaz's treatment not only restored my ability to eat and hear properly but also significantly improved my quality of life. I wholeheartedly recommend Asst. Prof. Dr. Ijaz Ur Rehman to anyone seeking specialized care in maxillofacial surgery or dental implantology. His expertise, compassion, and dedication to his patients are truly unmatched, and I am forever grateful for his role in restoring my health. Sincerely, *Muhammad Umair*Verified by TrustindexTrustindex verified badge is the Universal Symbol of Trust. Only the greatest companies can get the verified badge who has a review score above 4.5, based on customer reviews over the past 12 months. Read more
Dr. Ijaz Ur Rehman stands out as Lahore’s premier dental specialist, offering a unique combination of general dentistry and advanced maxillofacial surgery under one roof. Since establishing his practice in 2010, he has become the go-to dentist in Lahore for patients seeking comprehensive oral healthcare.
Dr. Ijaz offers both routine dental care and complex surgical procedures. Whether you need a simple dental filling or advanced dental implant surgery, you receive expert care from a single, trusted professional.
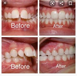
Dr. Ijaz has successfully treated patients across Lahore, earning reputation as the best dentist in Lahore for both routine and complex dental procedures. His expertise in wisdom tooth removal, dental crowns, and cosmetic dentistry has transformed countless smiles.
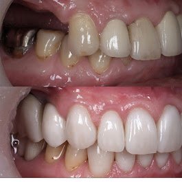
As a certified dental implant specialist in Lahore, Dr. Ijaz offers permanent tooth replacement solutions. Our dental implants provide natural-looking results that last a lifetime. We offer single tooth implants, multiple implant procedures, full arch restoration (All-on-4), bone grafting, and immediate placement when possible. Transform your smile with the gold standard for tooth replacement.
Dr. Ijaz specializes in wisdom tooth removal using advanced surgical techniques for pain-free extractions. As an experienced oral surgeon, he handles both simple and complex wisdom tooth procedures. Our services include surgical removal of impacted teeth, same-day procedures with modern anesthesia, and comprehensive post-operative care for faster healing.
Our dental crowns in Lahore are crafted using premium materials for natural-looking, long-lasting results. Dr. Ijaz’s expertise ensures perfect fit and aesthetics. We offer porcelain and ceramic crowns, dental bridges, same-day procedures, and implant-supported crowns. Restore your smile’s beauty and function with our expertly crafted crowns and bridges.
Achieve a radiant smile with our professional teeth whitening treatments in Lahore. Dr. Ijaz offers safe, effective whitening solutions including in-office bleaching and custom take-home trays. Our professional treatments deliver faster, more effective results than over-the-counter products with enamel protection and long-lasting brightness.
Our dental fillings in Lahore use tooth-colored composite materials that blend seamlessly with natural teeth. Dr. Ijaz provides comfortable, precise treatment for all cavity types. We offer mercury-free fillings, amalgam replacement, large cavity restoration, and same-day procedures with natural-looking, durable results.
Maintain optimal oral health with our comprehensive scaling and polishing services in Lahore. Dr. Ijaz provides thorough cleaning that removes plaque, tartar, and stains. Our services include professional deep cleaning, gum disease treatment, stain removal, and preventive education to keep your smile healthy and bright.
As a specialized maxillofacial surgeon in Lahore, Dr. Ijaz is expert in facial trauma management and emergency procedures. Our maxillofacial trauma services include treatment of facial fractures, jaw injuries, dental trauma, and soft tissue injuries. We provide immediate emergency care with surgical reconstruction and comprehensive follow-up for optimal healing and function restoration.
Dr. Ijaz specializes in TMJ treatment in Lahore for temporomandibular joint disorders causing jaw pain and dysfunction. Our comprehensive TMJ disorders management includes diagnostic evaluation, non-surgical treatments, and surgical interventions when necessary. We address jaw pain, clicking sounds, limited jaw movement, and related symptoms with personalized treatment plans for lasting relief.